近年来,临床医学院/附属医院呼吸内科不断引进和开展新技术、新项目,为病人提供优质服务,成效显著。呼吸内一科自广泛开展支气管镜下、内科胸腔镜下治疗及咯血的血管介入治疗以来,在上级医院专家指导下,近期又连续开展了两项肺癌的介入治疗新技术:DSA引导下上腔静脉重度狭窄腔静脉支架置入术及CT引导下晚期肺癌放射性粒子植入术,以满足临床需求。


48岁的章先生近期因咳嗽、胸闷入临床医学院/附属医院就诊,不幸确诊为肺癌晚期,伴上腔静脉重度狭窄,逐渐出现颜面部及上肢浮肿,胸壁浅表静脉扩张,并有显著胸闷及颜面部肿胀。为提高患者生活质量,延长患者生存期,该院呼吸内一科介入组决定为其实行上腔静脉支架置入,经术前充分评估,术中精细操作,以20分钟完成支架置入。术后,上腔静脉再通,胸壁“蚯蚓”消失,症状瞬间缓解,达到立竿见影的治疗效果,赢得患者及家属的高度称赞。


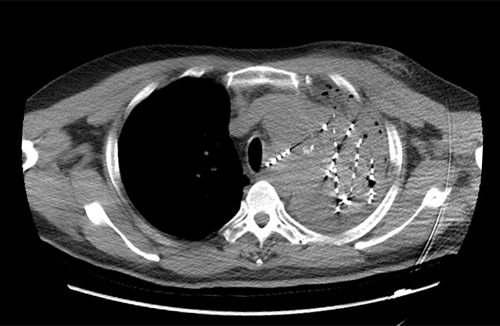
56岁的贵先生确诊左肺鳞癌两年半,两年来先后在多家医院给予放射治疗、多周期化疗、抗血管生成药物及靶向药物治疗等。近期病情再次加重,多次出现大咯血等情况,患者及家属一度绝望,后辗转到临床医学院/附属医院。呼吸内一科医生根据患者病情进行多次讨论,决定在咯血稳定后,为患者实施肿瘤内碘125I粒子植入术。此次手术为该院首例CT引导下肺癌放射性粒子植入术,过程顺利,术后CT显示粒子分布良好,经后续监护及观察,患者无特殊不适,原有胸痛胸闷症状明显缓解,达到治疗预期效果。据悉,碘125I粒子植入术作为组织间近距离放疗的一种新手段,自被证实为治疗肺癌安全有效、无严重副作用的治疗手段以来,国际国内正逐步开展,打开了肿瘤微创治疗的新篇章,临床医学院/附属医院呼吸一科紧跟学科发展,积极引进,为癌症患者带来了福音。